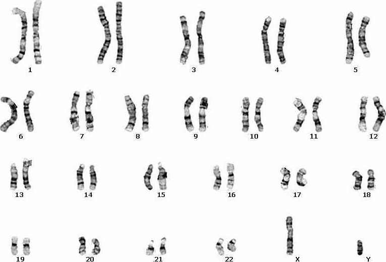
A karyotype is a display of condensed mitotic chromosomes arranged in homologous pairs.

Human somatic cells have 22 pairs of homologous autosomes (each of the pair inherited from one of the 2 parents), plus one pair of sex chromosomes (X or Y).

XX individuals are female, while XY are male.

This karyotype shows the chromosomes from a male.

Exercise: