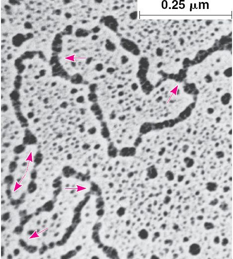
In this micrograph, three replication bubbles are visible along the DNA of a cultured Chinese hamster cell.