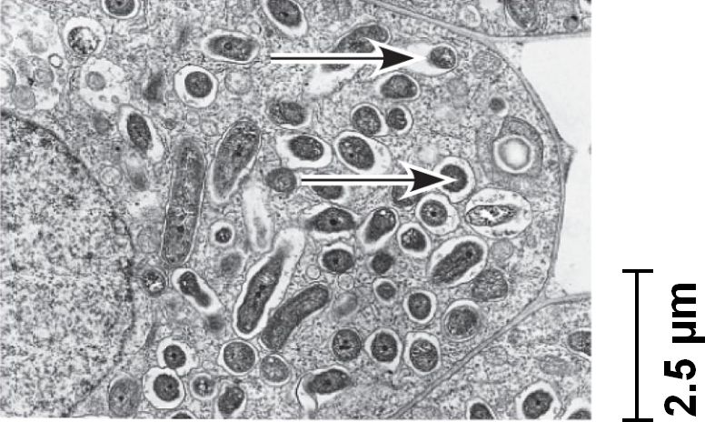
Rhizobium is another proteobacterium among the Gram-negative bacteria. They live inside root cells of legumes (plants of the pea/bean family), where the bacteria convert atmospheric nitrogen to organic compounds such as ammonia in a process called nitrogen fixation.